Navigation überspringen
Übersicht
Impressum
Datenschutz
Login
Navigation
Navigation überspringen
Startseite
Ihr Arzt
Dr. Peter Lattermann
Ihre Praxis
Behandlungen
Institut Sanjiao
Kosmetikstudio Kosmos
Ihre Klinik
Operative Eingriffe
Infos
Kontaktformular
Veranstaltungen
News
Suche
Frauenarzt Bayreuth
Ihre Praxis
Behandlungen
Behandlungsspektrum
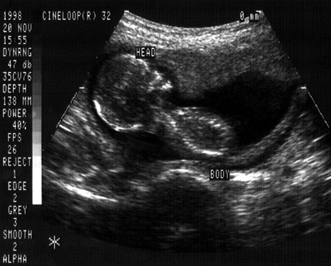
Schwangerenvorsorge und Missbildungsdiagnostik
Die Schwangerschaftsvorsorge wird nach den üblichen Mutterschaftsrichtlinien durchgeführt.
zurück zur Übersicht
Navigation überspringen
Startseite
Ihr Arzt
Ihre Praxis
Behandlungen
Institut Sanjiao
Kosmetikstudio Kosmos
Ihre Klinik
Infos
Wir verwenden Cookies, damit wir Sie bestmöglich unterstützen können.
Weiterlesen..
Verstanden